Why we are No. 1 ›
Click here!
Advertise With Us
|
Contact Us
|
FAQs
|
Feedback
|
Subscribe
|
Login
World's first medical networking and resource portal
Home
Search
Articles
News
Blogs
Videos
Drug Magic
Medical Humour
Health Questions
Register Now!
Dr. Sumit Bhansali's Profile
VOTES
0000000
PAGE HITS
0007746
My Profile
My Articles
My Comments
My Scrapbook
My Photos
My Videos
My Friends
Add as Friend
Add to Bookmarks
Post Comment
Send Message
Send Contact
Rate Profile
Photos
Previous
Next
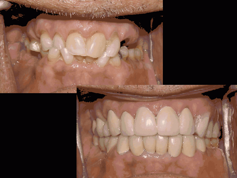
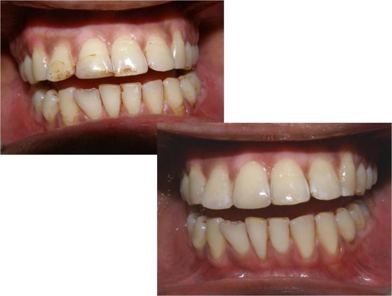
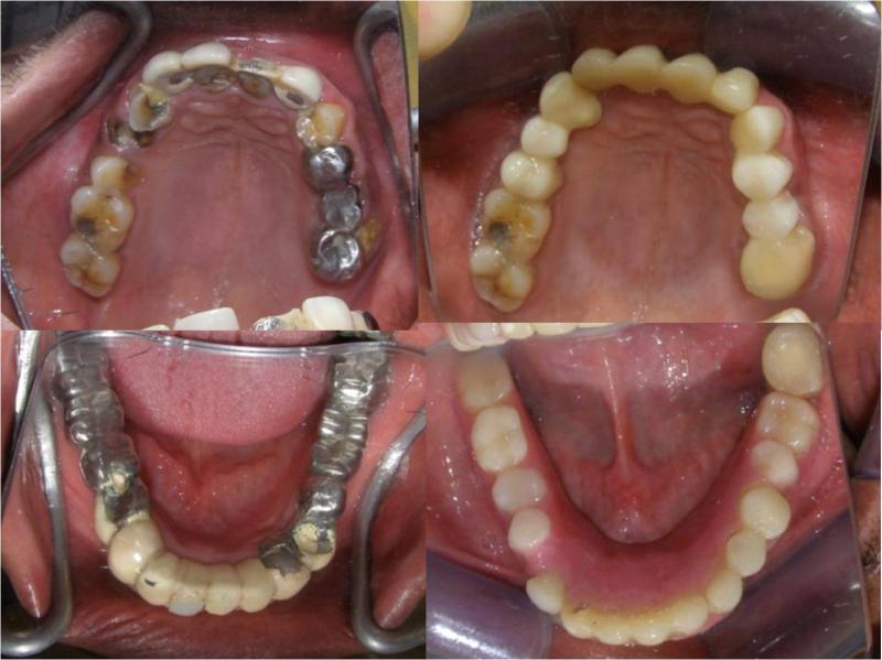
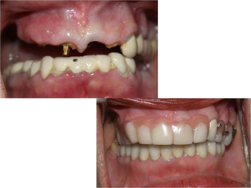
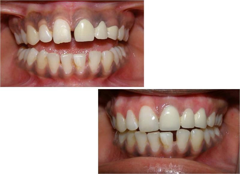
Full Mouth Rehabilitation
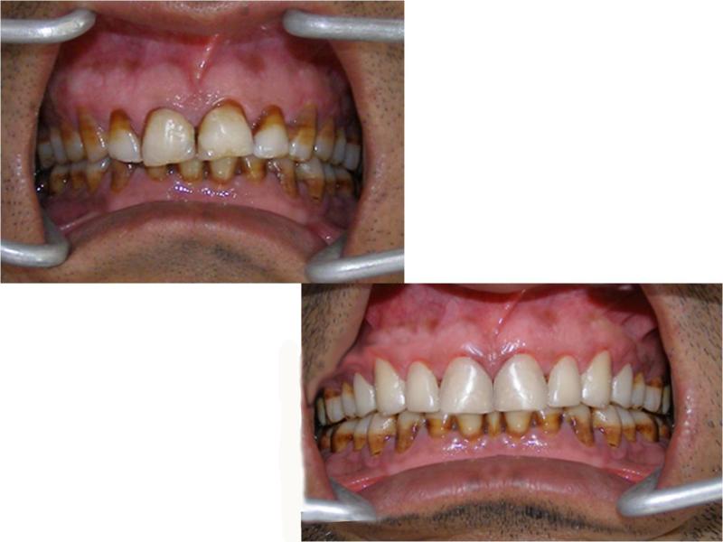
Full Mouth Rehabilitation
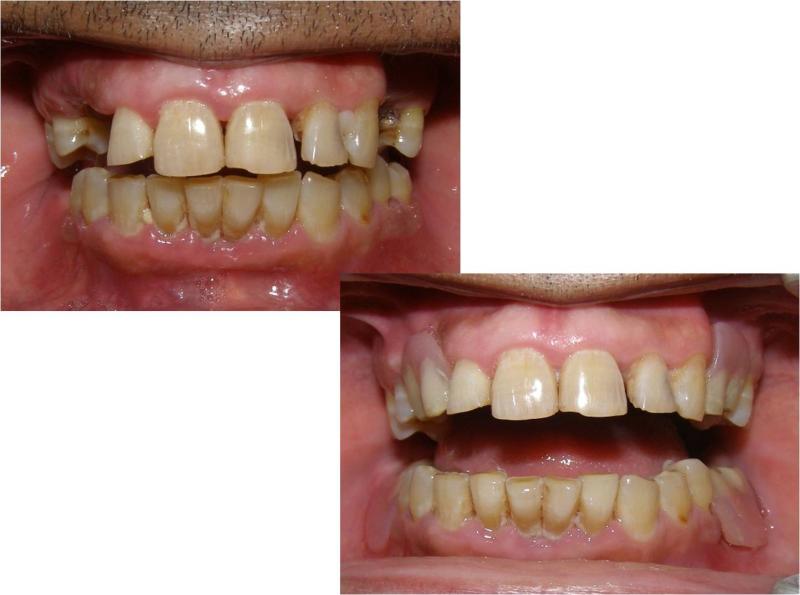
Full Mouth Rehabilitation
REMOVABLE PARTIAL DENTURE
TEETH WHITENING
TOOTH COLOR FILLING
DENTURE
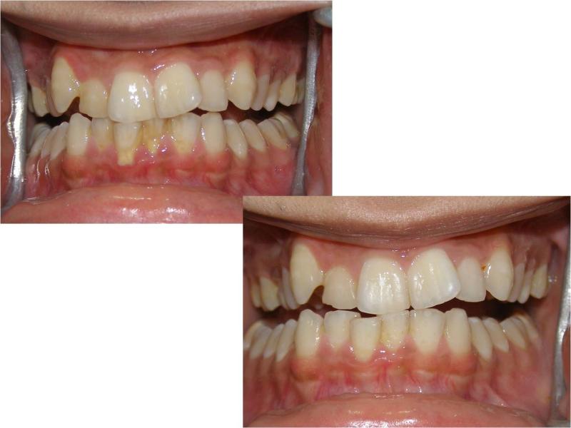
FULL MOUTH REHABILITATION
COLR CHANGES BY LAMINATES
SMILE DESIGN 1
SMILE DESIGN
COLOR CHANGES BY CROWNS
Previous
Next
My Name
My E-Mail
Friend's E-Mail
Message
I was just going through a website named IndiaHeartBeat.Com & found an interesting profile whose link I am tendering below for your perusal. Kindly try browsing the same to see if its useful.
Title
Mr.
Mrs.
Ms.
Dr.
Your Full Name
E-Mail Address
Message
None
To
Scrap Flag
Public
Private
Scrap