World's first medical networking and resource portal

Dr. Rajat Pratap Singh's Profile
Dr. Rajat Pratap Singh
Male, 47 Years from Aligarh, Uttar Pradesh, India
Practice Details:
Oral & Maxillofacial Consultant
Specialized in Cosmetic Dentistry & Smile Makeover
Stream:Allopathy
Years of Practice:2
Location:Aligarh, Uttar Pradesh, India
Zip Code:202001
Birth Place:Aligarh
Year of Birth:1978
Age:47 Years
Gender:Male
Marital Status:Married
Race:Asian
Languages Known:
Hindi, English (US), Punjabi, Urdu
Hobbies & Interests:
Surfing the net, Travelling to new destinations, Listening to Hindi Movie Songs, Watching Cricket & Movies, Dining out
Website URL:
www.gentledental.co.in

Qualification & Degree
1 BDS, Dr Z A Dental College & Hospital, Aligarh Muslim University, 2002
Contact Details
Clinic Name:
THE GENTLE DENTAL HOME
Address:
opp. Gandhi Eye Hospital, Ramghat Road,
Aligarh (UP) 202001
Days Available:
Weekdays except Sunday
Timings:
10:30 am - 2:30 pm, 6pm - 9:30 pm
Contact Number(s):
XXXXXXXXXX
Affiliations With Associations
Member American Academy of Cosmetic Dentistry
Member International Association for Dental Research
Member American Dental Association
Jt. Secretary Indian Dental Association (Aligarh)
Jt. Treasurer Private Doctor Association (Aligarh)
Life Member Dental Practitioners' Forum of India
Founder Member Private Dental Practitioners' Association (Aligarh)
Facilities Available
THE GENTLE DENTAL HOME
An ISO 9001:2000 Certified Dental Care Center
Facilities: Dental Implants, Fixed Denture, Crowns & Bridges, Express Teeth Bleaching, RCT, Smile Makeover, Braces, Tooth Colored Fillings, Laminates & Veneers.
Clinical Interests
National Conferences
Trade Fairs
CDE Programs
Comments
No comments posted

Articles
No articles published
Friends
No connections added

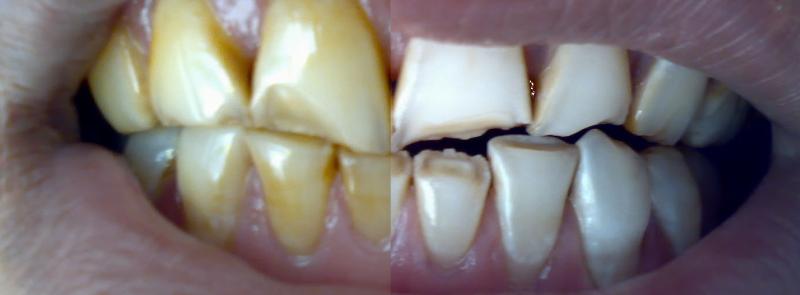
Photo Album
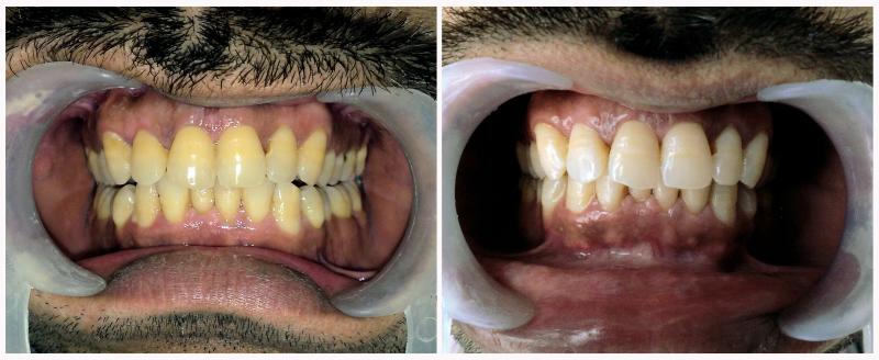
Express Bleaching Case 1
Express Bleaching Case 2

Videos
No videos uploaded

Scrapbook



None
To
Scrap Flag
Scrap